Studija slučaja: Rekonstrukcija osmeha kod mlade pacijentkinje – Predstavljamo vam stručni rad tima „Smile Time“ ordinacije
U želji da sačuvamo privatnost naše pacijentkinje, nećemo otkrivati lične podatke, ali želimo da kroz ovaj prikaz pokažemo kako je tekao jedan kompleksan, ali uspešan proces potpune rekonstrukcije osmeha koji je sproveden pod stručnim nadzorom dr Velibora Trgovčića i tima ordinacije Smile Time iz Novog Sada.
Ovaj slučaj posebno izdvajamo jer pokazuje da mladi danas imaju sve veću svest o značaju oralnog zdravlja – ne samo iz estetskih, već i iz funkcionalnih razloga. Naš cilj je bio da kroz ovaj rad prikažemo ceo tok – od lečenja i sanacije oštećenih zuba, preko implantacije, do završnog estetskog rada u vidu bezmetalnih krunica.
🦷 Početno stanje i plan terapije
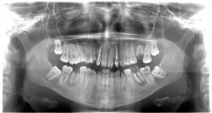
Pacijentkinja, uzrasta 17 godina, javila se u ordinaciju nakon ortodontske terapije koju je sprovodila kako bi ispravila položaj zuba i poboljšala funkcionalnost vilice.
Nakon skidanja aparata, primećeno je da su neki zubi oštećeni, dok su neki morali biti izvađeni zbog trauma i prethodnih oštećenja.

Rendgen snimak pre počekta rada
Plan terapije obuhvatao je:
-
Sanaciju postojećih zuba – lečenje i obnavljanje onih koji su mogli da se očuvaju.

Rendgen snimak nakon lečenja i vađenja zuba
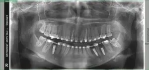
2.Ugradnju implantata – na mestima gde su zubi morali biti izvađeni.
3.Praćenje procesa srastanja implantata sa kosti (oseointegracija).

Rendgen snimak nakon ugradnje implantata
4.Izradu bezmetalnih krunica – na implantima i na gornjim prednjim zubima.
🪥 Tok rada i ključne faze
Tokom terapije, sprovedeno je više međusobno povezanih faza:
1️⃣ Lečenje i priprema postojećih zuba
Zubi koji su bili očuvani, ali oštećeni, endodontski su lečeni i ojačani ispunima kako bi se stabilizovali pre protetske faze.
Posebna pažnja posvećena je zdravlju desni, jer pravilno zarastanje gingive predstavlja osnovu za kasniji estetski rezultat.
2️⃣ Ugradnja implantata
Na mestima gde su zubi nedostajali izvršeno je popunjavanje prostora implantima – precizno postavljenim titanskim šrafovima koji zamenjuju koren zuba.
Proces srastanja implantata sa kosti trajao je nekoliko meseci i pažljivo je praćen kontrolama i rendgenskim snimcima.
3️⃣ Modelovanje i priprema krunica
Nakon što su implantati uspešno srasli, izrađeni su gipsani modeli, na kojima su tehničari precizno oblikovali modele bezmetalnih krunica.
Ovaj korak je od izuzetne važnosti jer omogućava da se boja, oblik i proporcija novih zuba savršeno uklope u prirodan izgled osmeha.
4️⃣ Postavljanje bezmetalnih krunica
Na implantima, ali i na gornjim prednjim zubima, postavljene su bezmetalne krunice visoke estetike, izrađene od cirkonijum-keramike, koja pruža prirodan izgled, otpornost i dugotrajnost.

Bezmetalne krunice na gipsanom modelu 1

Bezmetalne krunice na gipsanom modelu 2
📸 Realne slike i proces zarastanja
Kao i kod svakog rada koji prikazujemo, trudili smo se da fotografije budu autentične i neobrađene – kako bi se jasno videlo:
-
kako desni zarastaju oko implantata,
-
kako pravilna higijena i uravnotežena ishrana utiču na brzinu i kvalitet zarastanja,
-
te koliko je važna redovna kontrola nakon svake faze.

Bezmetalne krunice na gipsanom modelu 3
Na taj način želimo da pružimo edukativan uvid u realne rezultate i proces koji stoji iza svakog estetskog osmeha.

Studija slučaja: Rekonstrukcija osmeha- Postavljanje krunica

Popunjavanje rupa za šrafiće
Studija slučaja: Rekonstrukcija osmeha
🌿 Zaključak
Ova terapija pokazuje da pravovremeno lečenje i briga o zubima još u mladosti omogućavaju da se izbegnu ozbiljniji problemi kasnije.
Naš tim u „Smile Time“ ordinaciji posebno raduje činjenica što sve više mladih razvija svest o važnosti oralnog zdravlja i što im nije cilj samo lep osmeh, već i dugoročno očuvana funkcija i zdravlje.

Gotov rad
🦷 Na vreme započeto lečenje zuba je ključ zdravog i prirodnog osmeha – a svaki osmeh koji nastane uz stručan pristup ima svoju jedinstvenu priču.