Protetika

Bezmetalna keramika

Slučaj 1

Naša pacijentkinja je bila nezadovoljna estetikom metalokeramičkih kruna na jedinici i dvojci sa leve strane. Vrlo značajna je činjenica da su pored nezadovoljavajuće estetike, krunice bile i nefunkcionalne pa su i desni oko njih bile upaljene, narušavajući zdravlje parodoncijuma, izazivajući tegobe i dodatno narušavajući estetiku.

Problem je u potpunosti rešen tako što je, u ovom slučaju, urađena protetska bezmetalna keramika a upaljene desni su izlečene.

Slučaj 2

Pacijentkinja je bila nezadovoljna izgledom svojih zuba, njihovim nepravilnim položajem i promenjenom bojom. U ovom slučaju problem je rešen pomoću bezmetalnih solo krunica.

Slučaj 3

Pacijent se javio jer je bio nezadovoljan bojom gornje desne dvojke i trojke koje su potamnele nakon vađenja živca. Uradili smo bezmetalne solo krune na dvojci i trojci.

Metalokeramika

Slučaj 1

Metalokeramički most u frontu sa maksimalno ispoštovanim estetskim zahtevima ove regije.

Pacijent je imao nezgodu prilikom pada sa bicikla i oštetio stari metalokeramički most.

Imajući u vidu veličinu oštećenja, indikovan je nov protetski rad. Pacijentu su predočene sve terapijske opcije rešenja ove situacije, nakon čega se on opredelio za metalokeramički most.

Most je u dogovoru sa tehničarom kreiran tako da se boja i morfologija prednjih zuba uklapaju u prirodan zubni niz, omogućavajući funkcionalnost i pozitivan estetski efekat.

Slučaj 2

Pacijent je bio nezadovoljan estetikom svojih zuba, bojom i njihovim nepravilnim položajem. Sa obe strane zubnog niza nedostajale su četvorke.

Svakom pacijentu izlažemo sve opcije terapije. Nakon razgovora, pacijent se opredelio za protetsku terapiju metalokeramičkim mostom, nije bio zainteresovan za ortodontsku.

Urađen je metalokeramički most poštujući morfologiju svih zuba u frontu, uz maksimalnu gracilnost incizalnih ivica na sekutićima, što je pojačalo zadovoljavajući estetski efekat.

Kombinovani radovi

Slučaj 1

U slučaju ove pacijentkinje samo je nekoliko prednjih zuba bilo loše raspoređeno. Nepravilno raspoređeni zubi nisu bili ni funkcionalno ni estetski zadovoljavajući. Dodatni problem bilo je narušavanje integriteta i zdravlja parodoncijuma.

Terapijski izbor kod ove pacijentkinje bio je metalokeramički most u kombinaciji sa skeletiranom protezom. U ovoj situaciji to je estetski i funkcionalno najbolje rešenje ‒ prednji zubi dovedeni su u red, proteza se preko kopči povezuje sa prednjim zubima, zbog toga je veoma stabilna a veza je sakrivena. Nema dodatnih žica koje narušavaju estetiku.

Slučaj 2

Metalokeramički most u kombinaciji sa protezom.

Totalna proteza

Totalna proteza nadoknađuje sve zube jedne vilice. Ovakva nadoknada zuba mora ujedno da zadovoljava estetske standarde i da bude funkcionalna. Proteza ima bitnu ulogu u očuvanju međuviličnih odnosa i zdravlja viličnog zgloba.

Pacijentkinja se u ovom slučaju javila zbog smanjene funkcije i nezadovoljstva izgledom stare proteze. U konsultaciji sa pacijentkinjom ispunili smo njena očekivanja i njen osmeh je sada belji, a funkcionalnost proteze je na višem nivou.

Zubni implanti

Krunice na implantima

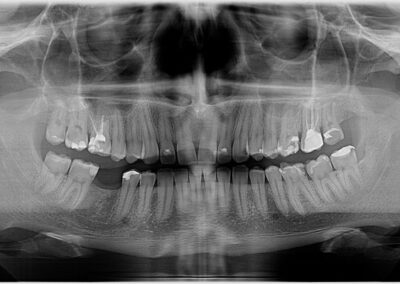
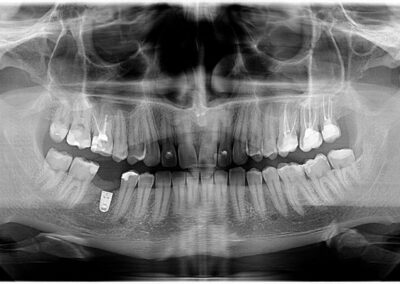
Pacijentu je nedostajao prvi molar u bočnoj regiji. Ovaj zub je posebno značajan i njegov nedostatak narušava kontinuitet celog zubnog luka. Imajući u vidu da su susedni zubi bili zdravi, kao idealno rešenje sa pacijentom je dogovorena ugradnja implanta i protetska nadoknada na implantu.

Na rendgen snimcima prikazana je donja vilica pre ugradnje implanta i donja vilica nakon perioda srastanja (oseointegracije) implanta sa koštanim tkivom.

Proteze na implantima

Osim što predstavlja estetski problem, bezubost gornje vilice narušava normalnu funkciju celokupnog organizma, narušavajući zdravlje. Ukoliko nema adekvatne obrade hrane u usnoj duplji, ceo gastrointestinalni sistem je ugrožen. Kada nema zuba, visina zagrižaja se gubi, vilični zglobovi se opterećuju na pogrešan način, a lice dobija starački izgled.

Pacijentkinja se javila u našu ordinaciju da joj pomognemo. Kod nas je došla bez protetskog rada u gornjoj vilici.

Imala je problematičnu situaciju gde je teško uraditi protetski rad, čega je pacijentkinja i bila svesna jer je nekoliko puta do sada pokušavano, čak i uz pomoć implanata, ali bezuspešno.

Iskoristili smo stari implant i uradili novu protezu poštujući sve kliničke faze izrade proteze. Ova proteza pacijentkinji sada konačno služi u funkciji govora i žvakanja.

Oralna hirurgija

Slučaj 1

Kod pacijentkinje je dijagnostifikovan semiimpaktiran umnjak koji je svakodnevno izazivao različite tegobe, te je indikovan za hururško vađenje. Pomoću OPT snimka uočeno je da se usled horizontalne pozicije ovog zuba, korenovi nalaze u neposrednoj blizini donjoviličnog živca.

Zbog specifičnosti situacije napravljen je i 3D snimak na kojem je uočeno da se donjovilični živac nalazi u neposrednoj blizini oba korena umnjaka, na različitim nivoima. Atraumatskim radom prilikom ekstrakcije zuba i preciznom tehnikom, zub je operativno odstranjen bez povrede donjoviličnog živca.

Slučaj 2

Pacijent se javio zbog otoka u predelu vilice koji se jasno vidi sa spoljne strane obraza. Mesto otoka je bolno i narušava funkciju govora i žvakanja. Zaostali koreni zuba predstavljaju zgodno mesto za akumulaciju bakterija u ustima pa na taj način pogoduju nastanku infekcije. Kada se zaostali koren ukloni, otvoren je put ka izlečenju. Čuvanje zdravlja usta je čuvanje celokupnog zdravlja tela.

Konzervativna stomatologija

Kompozitne fasete

Slučaj 1

Pacijent nije bio zadovoljan bojom zuba kao ni oblikom gornjih drugih sekutića. Sekutići su svojom atipičnom morfologijom loše uticali na celokupan izgled gornjeg zubnog niza. Proces koji je doveo do rezultata sa fotografije sastojao se iz izbeljivanja zuba kućnom metodom, uz redovne kontrole stomatologa, sve dok nije postignuta željena nijansa.

Nakon toga, urađene su kompozitne fasete na gornjim drugim sekutićima kako bi se korigovala njihova morfologija i poboljšao izgled celog zubnog niza. Pacijentu je vidno poboljšan izgled osmeha.

Slučaj 2

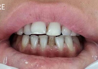
Pacijentkinja je imala uvučen donji sekutić u odnosu na ostale zube tako da je
održavanje adekvatne higijene bilo otežano. Pacijentkinja nije bila
zaintersovana za terapiju ispravljenjem zuba ortodontskim aparatom.
Urađena je kompozitna faseta na tom zubu tako da je on sada u ravni sa
susednim zubima čime je olakšana higijena i  postignut estetski
rezultat.

Bele plombe

Pacijent se javio zbog povremenog bola u zubu. Nakon pregleda, utvrđeno je da je neophodna zamena stare plombe. Kompozitni materijali su nam omogućili da rekonstruišemo zub u potpunosti, tako da on bude prirodne boje i izgleda.

Posebno je važno rekonstruisati površinu zuba u skladu sa morfologijom prirodnog zuba, tako da ima optimalnu funkciju tokom žvakanja, kao što je urađeno i u slučaju ovog pacijenta.

Beljenje zuba

Promena boje zuba može negativno uticati na samopouzdanje osobe kod koje se ona pojavi. „Walking bleach” tehnika beljenja avitalnih zuba funkcioniše tako što se izbeljivač aplikuje u zub i uz redovne kontrole dolazi se do savršene nijanse zubnih nizova i blistavog osmeha!

Nakon izbeljivanja zuba, odrađena je i nova plomba u skladu sa novom bojom zuba. Nakon tretmana, boja svih zuba u zubnom nizu je ravnomerna i ista.

Smile Time beli logo

© Copyright Smile Time 2020-2023